Information om tandregulering og bøjlepleje
Regler for tandregulering
Der kan være forskellige grunde til, at et barn eller en ung får tilbudt bøjlebehandling. De hyppigste grunde er:
- Misforhold mellem kæber: stort overbid eller underbid
- Ekstrem pladsmangel
- Fejllejrede tænder, der giverrisiko for skader på andre tænder
- Manglende tænder
Som udgangspunkt tilbydes barnet/den unge behandling, hvis der er risiko for nedsat funktion ved udeladt behandling.
Der tilbydes aldrig behandling med baggrund i kosmetik.
Sundhedsstyrelsen har udstykket de retningslinjer, der ligger til grund for, hvilke børn der tilbydes bøjlebehandling.
Tidspunkt for tandregulering
Hver gang dit barn bliver undersøgt i Tandplejen, bliver der taget stilling til, hvordan biddet fungerer. Hvis der ses uregelmæssigheder, bliver dit barn undersøgt af en specialtandlæge på den klinik, I er vant til at komme på.
Vurderer specialtandlægen, at en tandreguleringsbehandling muligvis kan gavne dit barn, inviteres I til en større undersøgelse på Tandreguleringsklinikken, Filstedvej 10 i Vejgaard.
Behandlingstilbud gives altid på det bedste tidspunkt i forhold til dit barns vækst. Hvis I takker nej på det tidspunkt, kan Tandplejen ikke love, at I får et nyt tilbud senere.
Første besøg
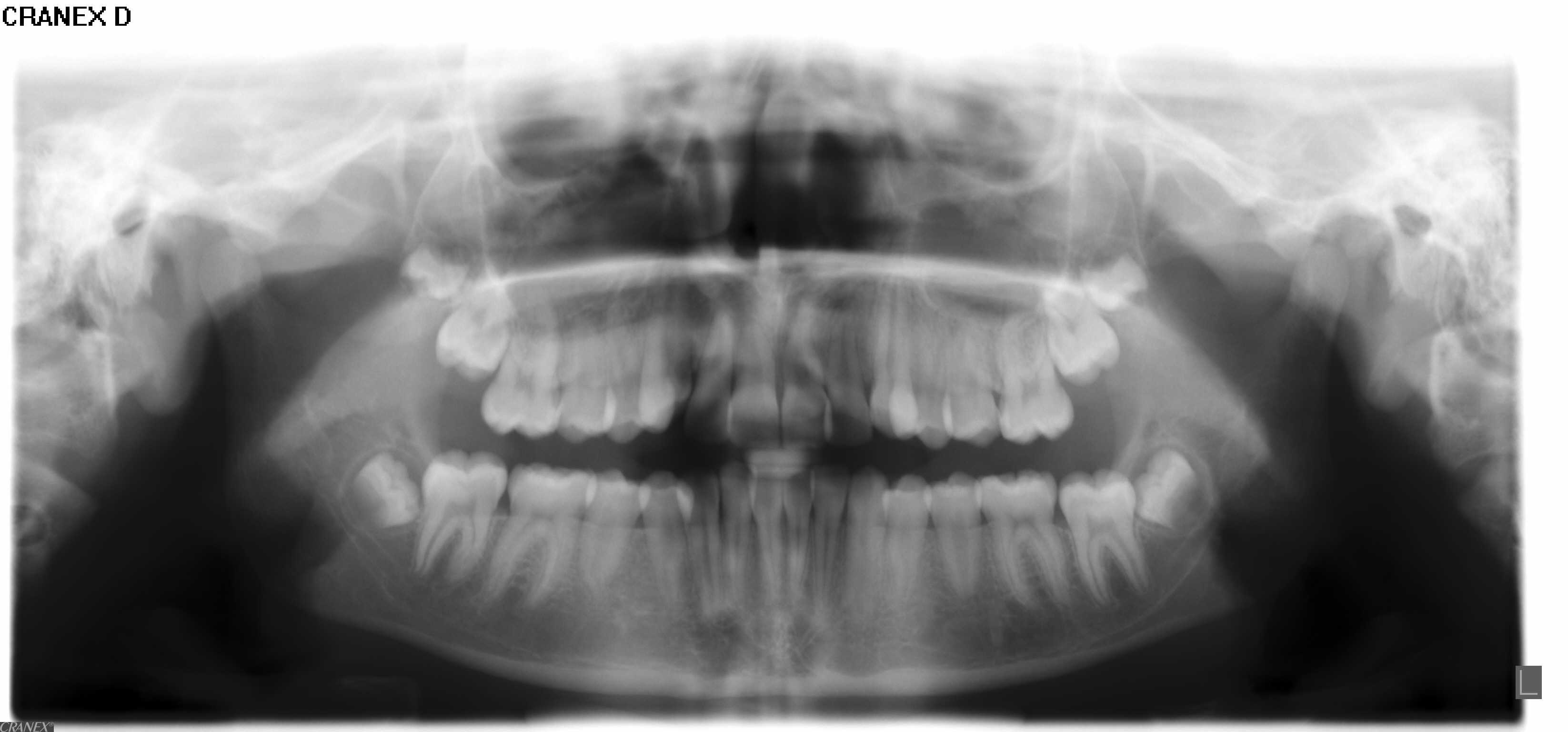
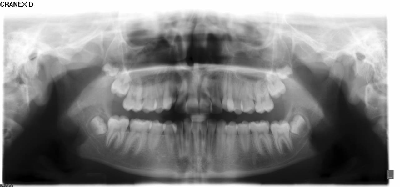
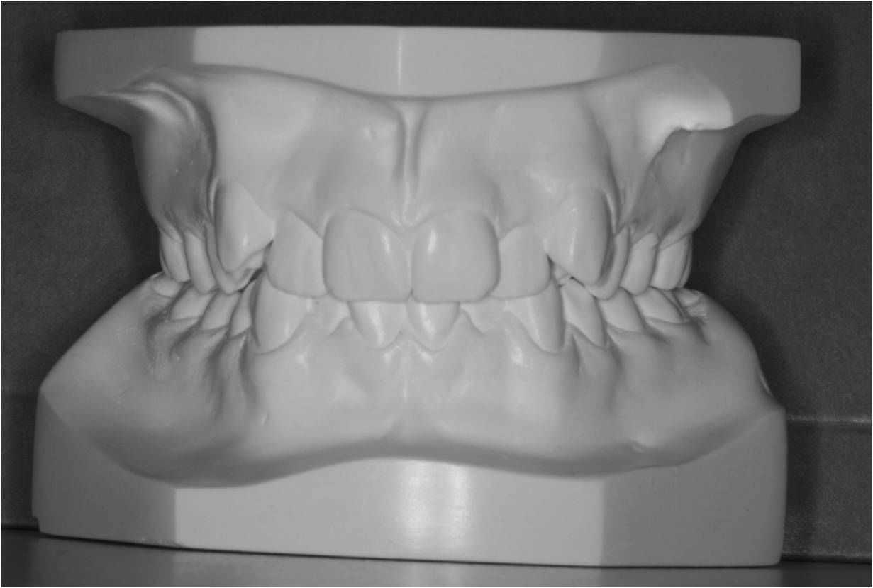
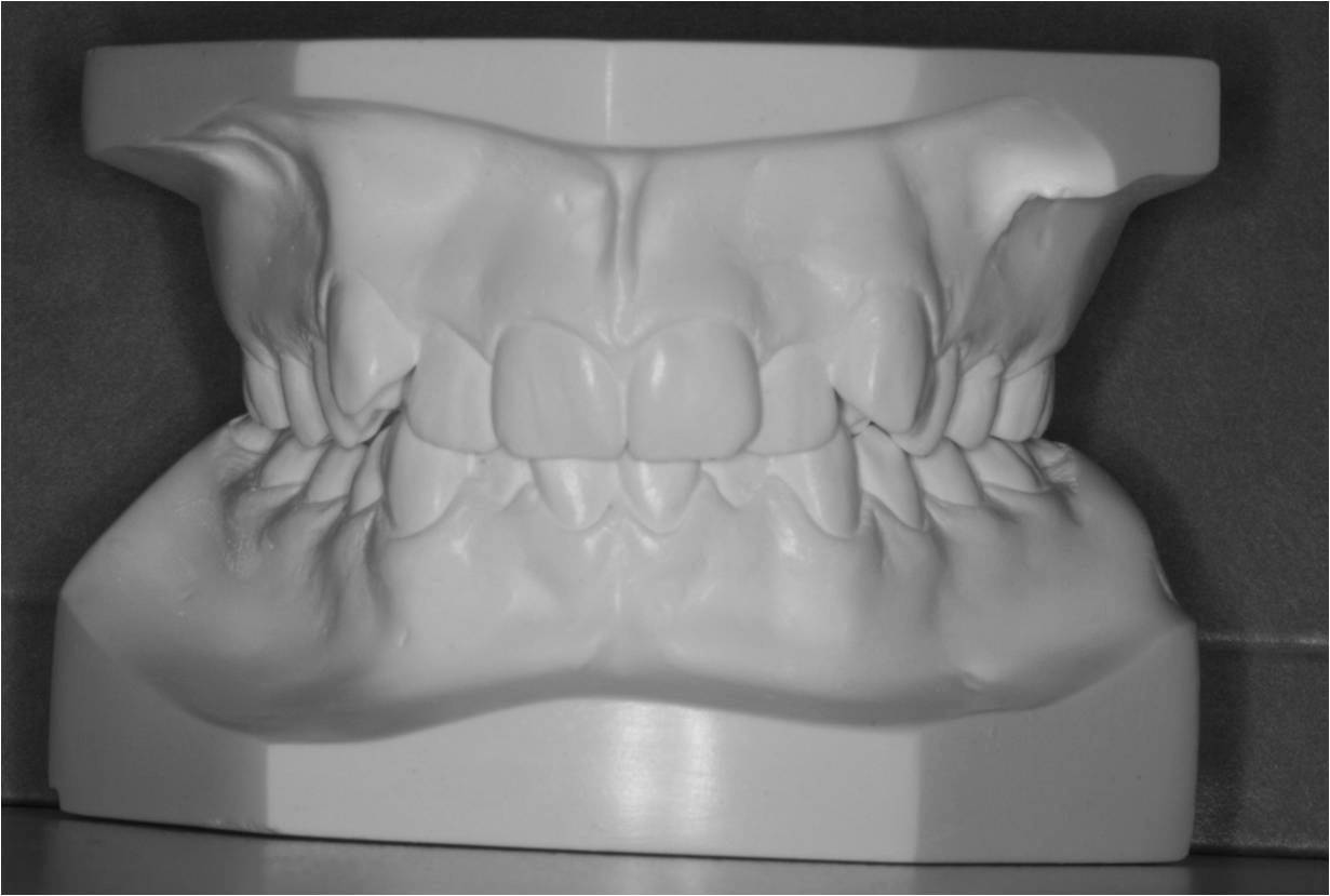
Første gang dit barn besøger Tandreguleringsklinikken, bliver der lavet studiemateriale.
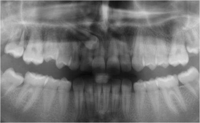
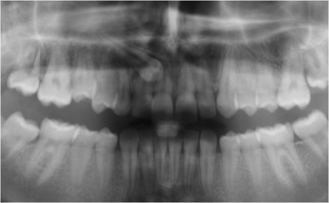
Studiemateriale, består af modeller, fotos og røntgenbilleder af tænder og ansigt. Der bliver også udleveret et helbredsskema, som skal udfyldes på stedet. Det er vigtigt at vide, om jeres barn er sundt og raskt, eller om der er særlige hensyn, vi skal tage - eksempelvis til medicin med videre.
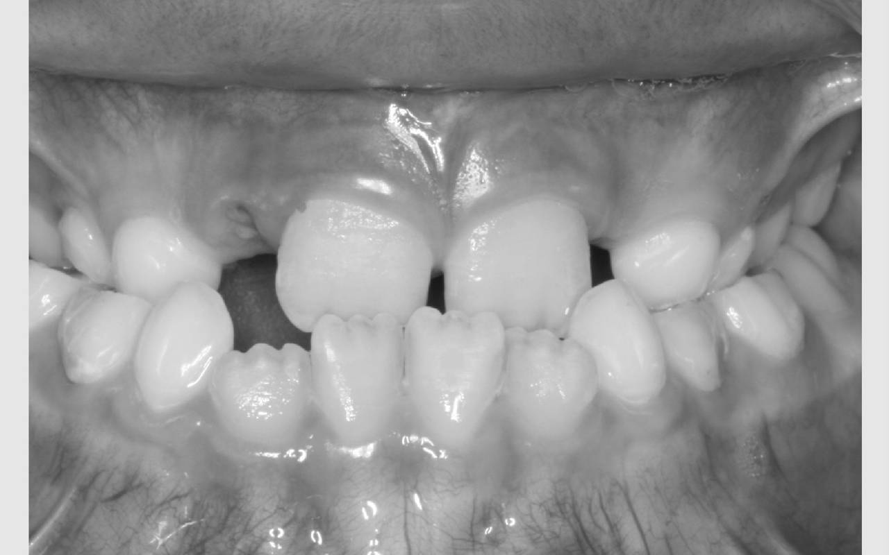
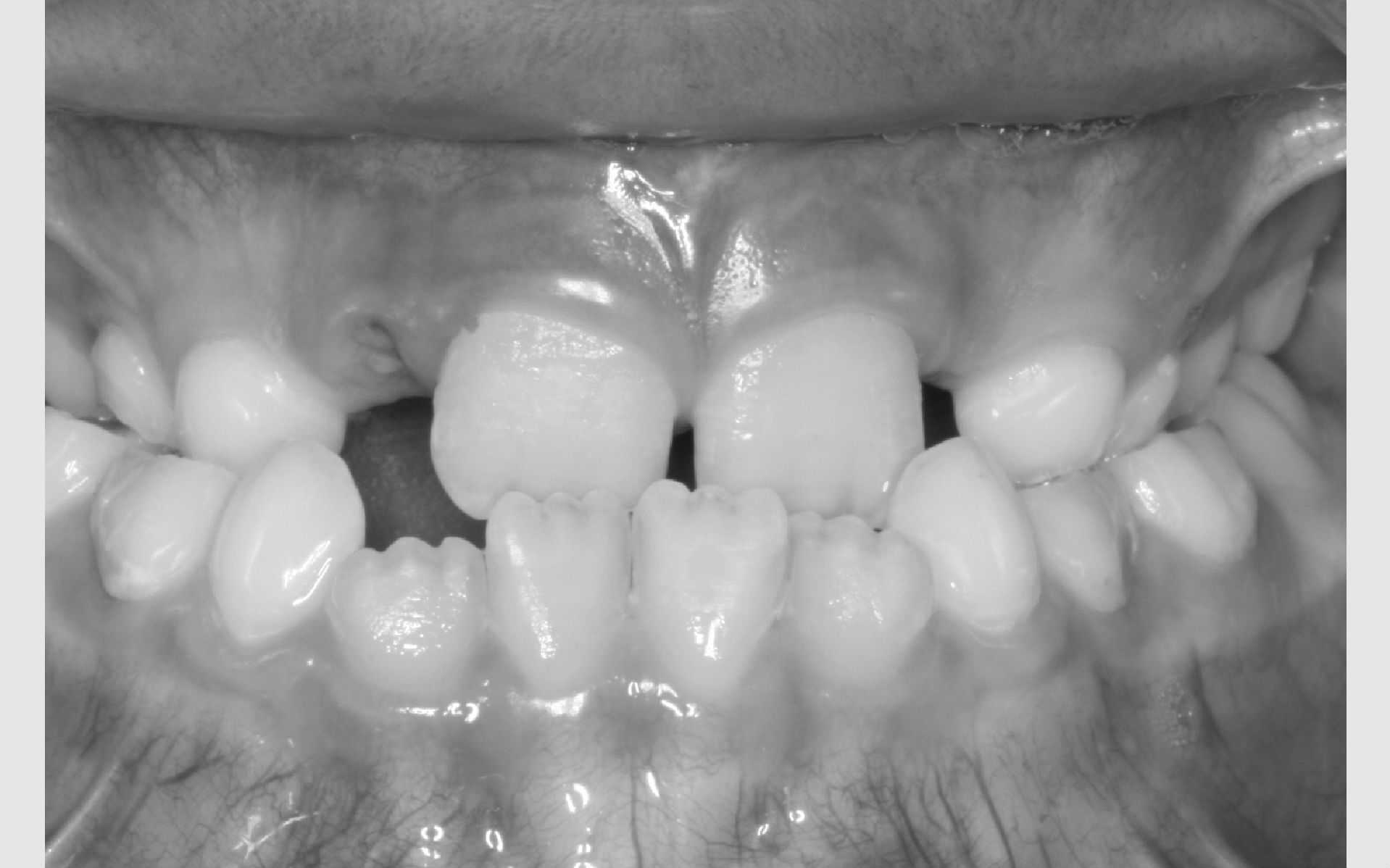
Der bliver taget billeder "udenpå og indeni" samt røntgenbilleder.
Dit barn skal selv holde sine læber til side med en læbeholder, mens tænderne bliver fotograferet. Billederne har følgende formål:
- Panorama viser, om alle tænder er anlagt, og om tandrødder og kæbeled ser normale ud.
- Profilrøntgen giver et billede af, hvordan kæberne er placeret i forhold til hinanden og i forhold til resten af kraniet. Derudover giver det et indtryk af, hvordan væksten vil udfolde sig.
- I nogle tilfælde tages der også et røntgenbillede af hånden, for at se hvor langt dit barn er i sin vækst.
- Der tages røntgenbillede af fortænderne i overkæben som et referencebillede, da disse af og til bliver skadet lidt af en bøjlebehandling. Cirka et halvt år inde i behandlingen bliver der taget ét billede igen som kontrol.
- Alt materiale studeres af en specialtandlæge, der udarbejder en behandlingsplan.
Andet besøg
Anden gang dit barn kommer på Tandreguleringsklinikken, er det for at snakke med den specialtandlæge, der har lavet den gældende behandlingsplan. Specialtandlægen forklarer, hvad problemet drejer sig om, og med hvilken bøjle dit barn kan få rettet tænderne.
Der informeres om, hvilke risici der er forbundet med at få tænderne rettet, og hvilke der eventuelt er ved at lade være. I får også at vide, hvor lang tid behandlingen formentlig tager, og hvilke bøjler dit barn efterfølgende skal have for at holde tænderne på plads.
Hvis behandlingen skal gøres med en aftagelig bøjle, får dit barn eventuelt taget aftryk hertil umiddelbart efter samtalen.
Aftagelige bøjler
Nogle tandstillingsfejl kan rettes med bøjler, du selv kan tage ind og ud. For at de skal virke, er det naturligvis afgørende, at du bruger bøjlen på den rigtige måde. Ofte vil det være nødvendigt, at du har bøjlen på i alle døgnets 24 timer - på nær når du spiser og børster tænder. Du vil altid få klar besked om, hvordan og hvor meget du skal bruge din bøjle.
Den aftagelige bøjle skal holdes godt ren. Det gør du med en tandbørste og lidt flydende, uparfumeret sæbe og ikke for varmt vand. Bøjlen kan ikke tåle kogende vand og kan ikke gå i opvaskemaskinen.
Når du får din bøjle, får du også en æske til at opbevare den i, når den ikke er i munden. Det er vigtigt at have æsken med sig og bruge den konsekvent, så bøjlen ikke forsvinder. Har I hund, er det vigtigt at sørge for, at hunden ikke kan få fat i bøjlen.
Faste bøjler - "togskinner"
Ofte er der brug for fastsiddende bøjler på tænderne. Mange kalder dem "togskinner", hvilket er et passende navn, da tænderne nærmest bliver flyttet i et spor på den lås, der limes på tanden.
Det gør ikke ondt, men det tager lang tid at lime låsene på tænderne, da de skal sidde helt præcist. Så du skal være indstillet på at ligge i tandlægestolen i en times tid. Synes du, det lyder som lang tid, kan du tage høretelefoner på og høre musik samtidig.
Sådan bliver bøjlen sat på
Før låsene limes på, bliver tænderne pudset helt glatte. Herefter bliver overfladen gjort klar til limen med en blå gele, der skal ligge på tænderne i 30 sekunder. Der skylles med vand og blæses helt tørt, hvorefter låsene kan limes fat på tænderne. Limen er en form for plast, der svarer nogenlunde til den plast, man bruger til tandfyldninger.
For at plasten kan hærde, lyses der på tanden med ultraviolet lys i 20 sekunder. For at beskytte vores øjne mod det ultraviolette lys, bliver der holdt en orange skærm for øjnene. Når alle låse er limet på, forbindes de med en bue af metal. Det er den, der flytter på tænderne.
Når bøjlen har siddet på i nogle timer, vil tænderne begynde at blive ømme. De fleste oplever let smerte i en lille uge, hvorefter ømheden forsvinder. Når du får strammet bøjlen, kan tænderne igen blive lidt ømme i en dag eller to. For langt de fleste er tandretning dog ikke forbundet med megen smerte.
Efter bøjlen er blevet sat på, får du vist, hvordan du bedst holder tænder og bøjle ren. Du får også gode råd om kost.
Desuden kan du læse mere om mundhygiejne under afsnittet herom længere nede på siden.
Første kontrol
Ved første kontrol på klinikken efter bøjlen er sat på, bliver tænder og bøjle farvet ind, som det også er tilfældet på de øvrige klinikker i Tandplejen. Indfarvningen er et fantastisk godt værktøj til at vise, om der er steder, hvor du skal have hjælp til at blive endnu bedre med tandbørsten.
Hyppighed for kontrol
Kontrol af din bøjle foregår på Tandreguleringsklinikken cirka hver 6. uge. Det varierer lidt gennem behandlingen afhængig af, hvilken fase, du er i. Ofte bliver du bedt om at bruge nogle elastikker mellem bestemte tænder. Det er yderst vigtigt, at du følger det, der aftales fra gang til gang, så behandlingen går hurtigst og bedst.
Hvis noget går i stykker
Når du har bøjle på, er det vigtigt, at du spiser med omtanke. Risikoen for huller i tænderne er langt større, når du har bøjle på. Du bør derfor spise sundt og undgå for meget sukker. Hold dig desuden fra hårde og seje ting, der kan beskadige bøjlen.
Får du bidt en lås af eller deformeret buen, er det vigtigt, at du ringer til Tandreguleringsklinikken og får en ekstra tid, så bøjlen kan blive repareret. Bøjlen skal hele tiden være i orden for at fungere optimalt.
Hvor lang tid skal jeg have bøjle på?
Det tager i gennemsnit 2 år at få rettet tænder med fast bøjle, hvorefter du får nogle holdebøjler. Der limes ofte en tråd bag på fortænderne i over- og underkæbe. Derudover får du en skinne eller plade til at sove med hver nat i omkring to år efter, bøjlen er taget af. Disse holdebøjler er vigtige at bruge og holde ved lige, hvis man ønsker at bevare tænderne i deres nye position.
Så længe du er tilknyttet Aalborg Kommunes Tandpleje, varetager vi kontrollen af tænder og holdebøjler. Disse kontroller foregår på Tandreguleringsklinikken i mindst 2 år efter bøjlerne er taget af og herefter på den klinik, du er tilknyttet.
Efter du har forladt Aalborg Kommunes Tandpleje er det vigtigt, at din nye tandlæge overtager kontrollen. Dog er det allervigtigste, at du selv tænker over, at alt er som det skal være og reagerer, hvis det ikke er.
Det er vigtigt, at du selv sørger for at komme til kontrol, da tænderne kan flytte sig, hvis tråden går løs. Derudover kan der komme hul i tænderne, hvis det ikke opdages, at tråden løsnes.
Mundhygiejne
Før du begynder på bøjlebehandlingen, er det vigtigt, du er en "super-børster".
Bakterier og madrester kan let gemme sig langs tandkødsranden og imellem tænderne, når du ikke har bøjle på. Det er dog forholdsvis nemt at fjerne med tandbørsten og lidt tandtråd, og de fleste kan klare den opgave på op til 5 minutter.
Når du har fast bøjle på tænderne, er der flere gemmesteder for bakterierne og maden, og dermed er børsteopgaven større. Alle låse, der limes på tænderne, er af rustfrit stål, og i princippet skal de "højglanspoleres" hver eneste dag. Det er en tidskrævende proces, som du må indregne i din hverdag. Det kan tage op til 15 minutter, når bøjle og tænder skal være helt rene.
Tandplejen anbefaler, at du giver tænder og bøjle "den store tur" om aftenen og børster almindeligt om morgenen. Hvis du ikke får børstet rent omkring bøjlen, er der stor risiko for at få huller midt på tænderne, hvor låsene sidder.
Du kan både bruge elektrisk og almindelig tandbørste - vælg den tandbørste, du synes fungerer bedst. Mange har desuden glæde af en solobørste til at komme ind i alle kringelkrogene. Det er vigtigt, at du bruger en tandpasta med mindst 1450 ppm fluorid.
Du bliver instrueret i, hvordan du kan børste dine tænder, og du får udleveret en tandbørste og solobørste.
Se video med guide til tandbørstning.



















